Casos de éxito

IMPLANTES Y REHABILITACIONES

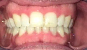
Rehabilitación con fundas de porcelana

Rehabilitación con implantes y sobredentadura, con locators

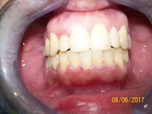
Rehabilitación con coronas de zirconio

Rehabilitación con implantes y elevación de seno

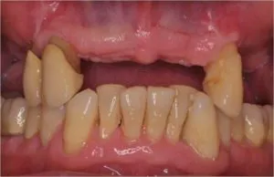
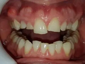
Rehabilitación con prótesis fija, para mejorar malposición dental y reponer ausencias

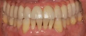
Rehabilitación con coronas de porcelana

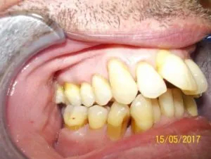
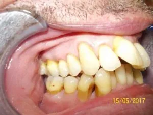
Rehabilitación con coronas de zirconio para cerrar espacios

ORTODONCIA

Paciente con agenesia de laterales y caninos superiores incluidos

Mordida abierta anterior

24 meses de tratamiento ortodóntico con cirugía ortognática.

Mordida cruzada unilateral

Con paladar ojival y apiñamiento severo superior e inferior.

Sobremordida severa

Tratamiento: 24 meses de tratamiento ortodóntico con disyuntor de paladar ( 6 meses ) y mascara facial.

Mordida abierta anterior

Tratamiento: 24 meses de ortodóncia con disyuntor de paladar.