¿Cómo limpiar la férula dental?

¿Cómo limpiar la férula dental?


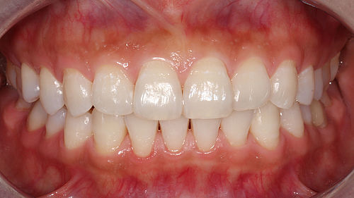
En los últimos años, el uso de férulas dentales se ha generalizado cada vez más en el tratamiento dental. Este dispositivo de plástico o resina tiende a deteriorarse con el tiempo, perdiendo su color y propiedades iniciales si no se cuida adecuadamente.

¿Sabes cómo limpiar tu férula para que siga funcionando y con el mismo aspecto que el primer día? Sea cual sea el tipo de férula que tengas, hay una serie de consejos para cuidarla y alargar su vida útil.

¿Qué es una férula dental?

La férula dental es un dispositivo fabricado en resina acrílica o diferentes materiales plásticos, transparente y de dureza variable. Se fabrica a medida de cada paciente, de forma que se adapta perfectamente a la arcada superior, a la arcada inferior o a ambas, según el tratamiento dental.

Para el diseño de la férula dental, el paciente acude a la clínica donde el odontólogo realiza moldes de sus dientes. Estos moldes se envían al prostodoncista, que es el encargado de confeccionar las férulas correspondientes con las medidas exactas.

El resultado final es una férula que se adapta perfectamente a los dientes, de color transparente y muy resistente. Sin embargo, el material del que está hecho tiende a deteriorarse con el uso, ya que entra en contacto con la humedad de la boca, ciertos tipos de alimentos y productos utilizados en algunos tratamientos.

¿Qué tratamientos implican el uso de férulas?

La férula es el complemento usado actualmente para tratar diversos problemas dentales. Pueden variar en forma, grosor, dureza y material dependiendo de su función.

Los principales tratamientos dentales para los que se utilizan las férulas son los siguientes:

  • Férula de mantenimiento de ortodoncia.
  • Férula blanqueadora.
  • Férula de descarga de bruxismo.
  • Protectores bucales.
  • Retenedor o férula quirúrgica.

¿Cómo se limpia la férula dental?

La férula dental es un elemento de uso diario que está en contacto con los dientes y las encías. En su interior se pueden acumular saliva, alimentos y otras sustancias que, si no se eliminan, pueden favorecer la multiplicación de bacterias y microorganismos que viven en el interior de la cavidad bucal.

Es por esto que tu rutina diaria de limpieza dental debe incluir la limpieza de su protector bucal, es muy importante, no solo para evitar la aparición de halitosis y el desarrollo de infecciones bucales, sino también para prolongar la vida útil de este dispositivo.

Para ello, basta con dedicar unos minutos al día a la limpieza y mantenimiento de la férula dental, de forma muy sencilla y rápida.

Limpieza de la férula dental paso a paso

1.- Existen cepillos especiales para la limpieza de prótesis dentales, aparatos de ortodoncia removibles y férulas dentales. Estos cepillos tienen cabezales dobles de diferentes tamaños y mangos ergonómicos que hacen que la limpieza sea más fácil y cómoda, llegando a todos los rincones.
Utiliza este cepillo todas las mañanas para limpiar correctamente la férula dental, humedeciéndola con agua fría y aplicando un poco de pasta de dientes o jabón neutro sin perfume ni alcohol.

2.- Frote tanto el interior como el exterior de la férula con el cepillo sin ejercer demasiada presión. Por cierto, debe usarse en todos los pequeños huecos donde tienden a acumularse residuos de saliva.
Termine enjuagándola bien con agua corriente fría, y la férula estará lista para su uso posterior.

3.- No olvides desinfectar la férula todas las semanas. Utiliza una solución desincrustante que permita una limpieza rápida, fácil y en profundidad de los aparatos extraíbles, manteniéndolos brillantes y sin olores.
Basta con verter, una vez por semana, una cuarta parte del contenido de la solución en un recipiente o vaso directamente sin diluir, sumergir completamente la férula dental y dejar actuar durante 15-30 minutos.

4.- Enjuague la férula dental con abundante agua antes de introducirla en la boca. Es recomendable enjuagar con la ayuda de un cepillo de dientes suave para facilitar la limpieza.

5.- Otra alternativa es la limpieza profunda diaria con Tabletas Efervescentes.
Simplemente, coloca la férula en un vaso de agua tibia, vierte la tableta y déjala actuar durante un mínimo de 10 minutos o toda la noche. Enjuágalo bien cuando termines para que puedas usarlo regularmente.

Consejos para el mantenimiento de las férulas dentales

Tan importante como la limpieza de la férula dental es su correcto uso y conservación. Si quieres mantener tu férula como nueva por más tiempo, sigue estos consejos:

¿Cómo guardar la férula?

Cuando no esté en uso, mantén la férula lo más seca posible en una caja protectora. Nunca la guardes mojada. Puedes dejarla secar sobre una superficie estéril donde no corra el riesgo de ensuciarse, o utilizar una toalla de papel para eliminar la humedad antes de guardarla.

Higiene previa a la ferulización

Recuerda siempre cepillarte los dientes antes de ponerte el aparato ortopédico. También usa hilo dental para asegurarte de haber eliminado todos los restos de comida y la placa.

También es fundamental manipular la férula con las manos limpias, humedeciéndola antes de colocarla para evitar que se pegue a los dientes y al paladar.

Daño frecuente a la férula dental

Aunque el material de la férula es duro, el roce con objetos metálicos puede dañar la férula. Para evitar posibles daños, manipúlelo únicamente con los dedos e intenta limpiarla con un cepillo especial de cerdas suaves.

La presencia de rasguños o agujeros podría albergar bacterias que son prácticamente imposibles de eliminar durante la limpieza. Si notas que la férula empieza a deteriorarse, consulta con tu dentista la posibilidad de reponerla.

Férula dental y fuentes de calor

Para dar la forma final a la férula dental se suele aplicar una gran cantidad de calor, lo que hace que el material sea completamente maleable. Por este motivo es importante mantener la férula alejada de cualquier fuente de calor, evitando que se deforme y pierda su funcionalidad.

Nunca laves la férula con agua caliente ni la dejes expuesta a la luz solar directa para evitar que se amarillee.

Con estos sencillos cuidados, y una correcta limpieza de la férula dental, esta durará mucho más para cumplir su función a la perfección.

Te puede interesar también:

Precio de ortodoncia invisible

Como funcionan los alineadores Spark

Grupo Gente Vital, cuenta con un equipo de doctores profesionales, reserva cita gratis en tu clínica dental de confianza en Alcoy o clínica dental en Benetusser.

El mercado de la ortodoncia invisible

El mercado de la ortodoncia invisible

La ortodoncia invisible es una alternativa a los brackets metálicos. Esta es una forma virtualmente invisible de mejorar la sonrisa. La ortodoncia invisible se utiliza para enderezar los dientes desalineados o mejorar la sobremordida.

La ortodoncia invisible implica el uso de alineadores transparentes personalizados que ajustan los dientes en la posición adecuada. La ortodoncia invisible es cómoda, más atractiva y fácil de usar en comparación con los aparatos metálicos tradicionales.

El mercado de la ortodoncia invisible está dominado por tres grandes fabricantes: Align Technology, Inc., Dentsply Sirona y HenrySchein Inc. Y marcas Invisalign, ClearSmile, ClearCorrect, ClearPath, Ormco (alineadores Spark) y Eon.

mercado de la ortodoncia invisible

Los fabricantes en el mercado de la ortodoncia invisible se están enfocando en la expansión de sus carteras de productos. Y están ingresando a mercados emergentes como India, Brasil y China.

Align Technology, Inc. posee una parte destacada de los ingresos del mercado global de ortodoncia invisible. Amgen Inc. es el creador de alineadores transparentes como el sistema Invisalign.

Al participar en adquisiciones, asociaciones y colaboraciones con actores regionales y grandes empresas; los fabricantes en el mercado de la ortodoncia invisible se están enfocando en expandir su presencia geográfica y las huellas de sus productos en los países en desarrollo.

Crecimiento de la ortodoncia para adultos

El crecimiento de la ortodoncia para adultos está impulsando el crecimiento del mercado.

El tratamiento para pacientes adultos es un desarrollo reciente en ortodoncia. Ha habido una creciente demanda de procedimientos de ortodoncia entre los adultos debido a la creciente conciencia y comprensión de la mejora de los dientes.

Los crecientes beneficios de la ortodoncia relacionados con la periodoncia, los trastornos temporomandibulares  (ATM) y la odontología restauradora han aumentado los procedimientos de ortodoncia en las poblaciones adultas. Esto aún más un mayor impulso en el mercado general de ortodoncia invisible a nivel mundial.

Existe una mayor demanda de tratamiento de ortodoncia por parte de adultos. Esto aumenta el alcance de la ortodoncia y ha ampliado el límite de edad para las intervenciones de ortodoncia. Debido a la creciente conciencia y deseo de mejorar la estética facial, se espera que ello impulse el crecimiento del mercado de la ortodoncia invisible en el futuro cercano.

Médicos de cabecera que ofrecen servicios de ortodoncia

El número de médicos de cabecera que ofrecen servicios de ortodoncia para impulsar el crecimiento del mercado de ortodoncia invisible ha crecido últimamente.

La creciente tendencia y demanda de ortodoncia invisible ha abierto un servicio completamente nuevo para los médicos de cabecera. Ofrecer el segmento de adultos, actualmente está en rápido crecimiento en el mercado de la ortodoncia.  Como en los casos de ortodoncias leves que buscan enderezar sus dientes sin el uso de alambres y brackets tradicionales.

Más adultos buscan una sonrisa más recta y eligen nuevas formas estéticas de opciones de movimiento de los dientes. Estas incluyen tratamiento con alineadores transparentes y tratamiento de ortodoncia lingual.

El creciente número de casos exitosos de Invisalign, así como la creciente lista de dentistas certificados para brindar aparatos invisibles, han ayudado a muchos adultos a optar por este tratamiento.

¿Qué se espera?

Se espera que una mayor conciencia cosmética estimule el crecimiento del mercado de la ortodoncia invisible.

La demanda de tratamientos dentales estéticos, a nivel mundial, ha crecido considerablemente en los últimos años. Ello, debido a una mayor conciencia pública sobre las nuevas técnicas, junto con una mayor atención hacia el tratamiento de la mejora de sonrisa.

Un aumento significativo en el uso de aparatos de ortodoncia por parte de los dentistas para mejorar las sonrisas de los pacientes con dientes anteriores desalineados está aumentando aún más las opciones de tratamiento para los pacientes, lo que está impulsando el crecimiento del mercado de la ortodoncia invisible a nivel mundial.

La combinación de técnicas de alineación dental con la unión de bordes compuestos incisales y el blanqueamiento dental permite a los dentistas mejorar la simetría y la estética de una sonrisa de una manera mínimamente invasiva y asequible, lo que impulsa aún más el crecimiento del mercado de la ortodoncia invisible.

La creciente conciencia entre los consumidores, el aumento del enfoque en la mejora de la estética dental, la creciente población de clase media y el aumento del turismo dental en los mercados emergentes están impulsando aún más el crecimiento del mercado de la ortodoncia invisible.

Vitalcoy tu clínica dental especialista en ortodoncia invisible en Alcoy. Tu clínica dental de confianza y especialista en ortodoncia invisible en Benetusser

Ortodoncia Invisible marcas

Ortodoncia Invisible marcas

Las marcas populares de alineadores transparentes Invisalign, ClearSmile, ClearCorrect, ClearPath, Ormco y Eon funcionan con un principio similar.

Ortodoncia invisible (alineadores transparentes)

El término «alineadores transparentes» describe los tipos revolucionarios de aparatos ortopédicos que no utilizan el enfoque tradicional de alambres y brackets, sino que utilizan férulas de plástico transparente diseñadas para enderezar suavemente los dientes.

Estos tipos de aparatos ortopédicos son cada vez más populares, ya que le permiten enderezar los dientes, pero evitan la sonrisa de “vía de tren o boca de metal» asociada con los aparatos ortopédicos tradicionales.

¿Qué son los brackets “invisibles”?

Este término se refiere a una técnica mediante la cual los dientes desalineados o torcidos se enderezan utilizando una serie de cubetas de plástico transparente de calidad clínica.

Las férulas se fabrican a medida de forma individual y se reemplazan cada 2 o 3 semanas a medida que avanza el proceso.

Una de las marcas más populares es Ormco, aunque hay varias alternativas disponibles que pueden ser  igual de efectivas.

Aunque esta clase de aparatos ortopédicos no es completamente invisible, su construcción de plástico transparente los hace muy difíciles de detectar cuando se usan.

Beneficios de los alineadores transparentes

Hay una serie de ventajas que vienen con alineadores transparentes; sin embargo, no son adecuados para todos los casos. Los beneficios principales son:

  • No poseen ni alambres ni soportes y, por lo tanto, muy discreto para usar
  • Se pueden quitar fácilmente para comer, para limpiar o para un evento importante
  • Generalmente, son bastante cómodos una vez que se acostumbra a usarlos
  • Son fáciles de mantenerlos limpios

¿Para qué tipos de casos se pueden usar los alineadores transparentes?

Este tipo de aparato ortopédico generalmente se puede usar para tratar casos leves a moderados de desalineación dental, incluidos los siguientes:

  • Dientes torcidos
  • Brechas (diastema)
  • Mordida cruzada
  • Sobremordida
  • Mordida abierta

Si bien los alineadores transparentes son muy versátiles, pero normalmente no son adecuados para casos más complejos en los que se requieren técnicas de ortodoncia más completas.

El proceso de tratamiento con alineadores transparentes

Al igual que con cualquier tratamiento dental importante, primero se le pedirá que asista a una consulta para asegurarse de que este tipo de tratamiento sea adecuado para sus necesidades particulares.

Después de la consulta, se le debe proporcionar un plan de tratamiento claro, el precio y una indicación del tiempo que debe durar el tratamiento.

Si decide continuar con el tratamiento, se le invitará de nuevo a su dentista u ortodoncista para que le realicen escaneos o un molde de sus dientes y mandíbula en su estado actual.

Los moldes tradicionales están siendo reemplazados por escaneos digitales o la última tecnología de imágenes.

El software más reciente también puede estar disponible para permitirle ver las imágenes de «antes y después» de sus dientes, para que tenga una excelente idea de cómo se verá su nueva sonrisa una vez que se complete el tratamiento.

Luego, el dentista enviará sus datos a un laboratorio donde se producirán sus alineadores, listos para comenzar a usar. Estos se ajustarán a medida para garantizar que se aplique la presión correcta a sus dientes para completar el proceso de realineación.

Deberá cambiar sus alineadores cada dos semanas según lo aconseje su dentista, pero no necesitará volver a la práctica con tanta regularidad. Sin embargo, se requerirán controles periódicos para asegurarse de que todo esté progresando como se esperaba.

El tratamiento normalmente toma entre 8 y 18 meses, pero generalmente alrededor de un año para completarse. Su dentista también le brindará información completa para ayudarlo a mantener una buena higiene bucal mientras usa los alineadores.

Te puede interesar conocer más sobre ortodoncia invisible.

Somos tu clínica dental de confianza. Especialista en Ortodoncia invisible en Alcoy Ortodoncia invisible en Benetusser

 

Consejos para nuevos usuarios de Invisalign

Consejos para nuevos usuarios de Invisalign

¿Qué debe saber sobre los alineadores Invisalign?

Consejos para nuevos usuarios de Invisalign. Los alineadores Invisalign se diferencian de los aparatos ortopédicos estándar en muchos aspectos como:

  • Son removibles: una de las mejores partes de usar alineadores Invisalign es que puede quitarlos. Si bien debe usar sus alineadores tanto como sea posible, pero igual es genial tener la opción de quitárselos a lo largo del día cuando lo necesite. Pero, esto también puede complicar las cosas, como verá más adelante.
  • Están hechos de termoplástico: el termoplástico es un material que mantiene su forma, incluso en las temperaturas cálidas de la boca. Sus alineadores mantendrán su forma durante todo el tiempo que los utilice. El termoplástico es un material notable, pero aún hay que cuidarlo.
  • Están hechos a medida para usted: los alineadores no son un tipo de producto de /talla única/. Su ortodoncista inspeccionó sus dientes y tomó las medidas adecuadas para asegurarse de que sus alineadores funcionen para usted. Cada vez que coloca una cubeta nueva, sabe que es exactamente lo que sus dientes necesitan para enderezar.
  • Todavía pueden causar dolor: ¿Duele Invisalign? Los alineadores Invisalign usan la fuerza para mover los dientes. Esto causará algo de dolor al principio. Con el tiempo, se adaptará y se convertirá en un profesional de Invisalign.
  • Requieren tiempo y paciencia: puede llevar un tiempo ver resultados. Sigue así y, antes de que te des cuenta, te mirarás en el espejo y verás una sonrisa más recta. Todo su arduo trabajo y esfuerzo valdrá la pena.

Consejos para nuevos usuarios de ortodoncia invisible

Consejos nuevos pacientes invisalign

Si se pregunta cómo cuidar Invisalign, recuerde que se trata de practicar sus nuevas rutinas todos los días. Es posible que esté un poco nervioso por ajustar su vida, pero no hay necesidad de preocuparse. Si sigue estos consejos, estará en camino hacia grandes resultados y una sonrisa saludable y feliz:

1.- Use sus alineadores

Está gastando tiempo, esfuerzo y dinero para enderezar sus dientes. Eligió un camino más conveniente al invertir en alineadores transparentes Spark o Invisalign. Ahora, tiene que usarlos. Esto puede parecer obvio, pero es más fácil descuidar este paso de lo que piensa.

Debe utilizar sus cubetas alineadoras casi las 24 horas del día, sacándolas solo para comer, beber y limpiarlas.

Sacarlos constantemente puede conducir a una falta de progreso y es posible que deba prolongar el tiempo de uso de los alineadores. Adquiera el hábito temprano y mantenga esos alineadores puestos.

2.- Cambie las férulas a tiempo

Aproximadamente cada dos semanas, comenzará a usar nuevas férulas de alineadores. Las nuevas cubetas ayudan a que tus dientes se enderecen un poco más que las anteriores.

Para cuando utilice sus últimas férulas, tendrá una sonrisa completamente nueva que cuando comenzó. Para lograr esto, deberá cambiar sus férulas a tiempo para mantener el ritmo y apuntar a su fecha de finalización proyectada.

3.- Practique una buena higiene bucal

El uso de alineadores aumenta las posibilidades de que se acumulen bacterias dañinas en la boca. Esto suena aterrador, pero hay una manera fácil de combatirlo: siga practicando sus hábitos regulares de higiene dental.

Sus hábitos existentes contribuirán en gran medida a mantener su boca sana y limpia. Incluso puedes ir un paso más allá con una dedicación renovada.

Cepillarse los dientes y emplear hilo dental después de cada comida o refrigerio es crucial para tener una boca limpia. Esto conduce a alineadores más limpios y bacterias menos dañinas.

4.- Evite usar pasta de dientes y enjuague bucal para limpiar sus alineadores

La pasta de dientes y el enjuague bucal son artículos comunes en los baños de muchas personas. Estos productos son excelentes para limpiar los dientes, pero debe evitarlos cuando sea el momento de limpiar los alineadores transparentes.

La pasta de dientes contiene pequeñas partículas abrasivas que rayan el termoplástico. Las cerdas de su cepillo de dientes empeorarán estos rasguños. Esto podría cambiar sus alineadores transparentes de ser invisibles a ser turbios y notorios.

También debe evitar remojar sus alineadores transparentes en enjuague bucal. El enjuague bucal contiene tintes y colorantes que corren el riesgo de manchar los alineadores. Esto cambiará sus alineadores Invisalign de transparentes a morados, verdes o azules.

5.- Quítese los alineadores antes de comer y beber

Comer y beber mientras se usa Invisalign sería una experiencia incómoda. Comer con su Invisalign acumulará bacteria que provocaran mal aliento y comida atrapada en los alineadores.

Beber agua mientras se usan alineadores está bien. De hecho, puede ayudar a enjuagar los alineadores, lo que lleva a una boca más limpia. Pero beber café, té, refrescos y otras bebidas oscuras manchará sus alineadores con el tiempo.

6.- Enjuague regularmente

Una tarea fácil de practicar como nuevo usuario de Invisalign es enjuagar los alineadores a lo largo del día. Solo le tomará un momento sacar las férulas y darles un enjuague rápido.

Esto eliminará las partículas persistentes que podrían contribuir al mal aliento, la decoloración. Acostúmbrese a enjuagar los alineadores cada vez que se los quite durante el día para mantenerlos frescos.

7.- Proteja sus alineadores cuando no los use

Mantener sus férulas en una servilleta cuando están fuera de su boca es un gran error. Un movimiento en falso o un solo momento de olvido podría llevarlos a aterrizar en la papelera. Entonces corre el riesgo de pagar por alineadores de reemplazo y arruinar su progreso de enderezamiento de los dientes.

Tenga a mano un estuche rígido para guardar los alineadores cuando los saque. Esto los protegerá de sufrir daños y ser desechados accidentalmente.

8.- Proteja su boca y limite el dolor de Invisalign

En ocasiones, los alineadores transparentes de Invisalign pueden tener bordes afilados o áreas ásperas de plástico. Esto puede ser poco común, pero aun así es una distracción e incluso doloroso de experimentar.

Si ya ha experimentado esta incomodidad, es posible que se pregunte cómo hacer que Invisalign sea más cómodo. Intente aplicar una pequeña cantidad de cera en las áreas problemáticas.

También puede experimentar dolor de muelas cuando usa cubetas nuevas. Cuando coloque alineadores nuevos por primera vez, intente morderlos varias veces para amoldarlos. Esto ayudará a que sus dientes se ajusten a las nuevas cubetas. Incluso puede reducir el dolor de la presión del alineador nuevo haciendo que la sangre fluya en las encías.

9.- Use su retenedor cuando termine el tratamiento

Cuando haya completado su tratamiento con alineadores Invisalign, necesitará retenedores para mantener los dientes en su lugar. De lo contrario, sus dientes podrían volver a sus posiciones anteriores.

Asegúrese de preservar el resultado de todo su arduo trabajo, dinero y dedicación usando sus retenedores tanto tiempo como pueda.

Guarde sus férulas finales para que actúen como retenedores de respaldo. Si algo le sucede a sus retenedores, puede usar sus férulas finales hasta que obtenga reemplazos.

Recuerde, después de todo su arduo trabajo, lo último que desea es que sus dientes se desplacen hacia atrás. Use sus retenedores para que sus dientes se vean geniales en los años venideros.

Puede seguir leyendo más si desea conocer cómo funcionan los alineadores Spark y esta guía completa sobre la ortodoncia invisible y sus tipos.

Vitalcoy especialistas en ortodoncia invisible en Alcoy. Tu clínica dental de confianza Ortodoncia invisible en Benetusser

Alineadores Invisalign Vs alineadores Spark

Alineadores Invisalign Vs alineadores Spark

¿Qué es el tratamiento Invisalign?

El tratamiento Invisalign representa una revolución en la ortodoncia moderna. Utiliza una serie de alineadores transparentes personalizados que se cambian aproximadamente cada dos semanas, moviendo gradualmente los dientes hacia la posición deseada. El tratamiento Invisalign le permite transformar su sonrisa de manera discreta y cómoda con aparatos removibles virtualmente invisibles.
Los alineadores Invisalign son completamente transparentes y están hechos a medida para enderezar gradualmente los dientes sin usar alambres ni brackets metálicos.

Tecnología detrás de los alineadores Invisalign

El proceso comienza con un escaneo digital 3D de la boca del paciente, eliminando la necesidad de las incómodas impresiones tradicionales. Este escaneo permite:

  • Crear un mapa digital preciso de la dentadura actual
  • Simular el movimiento gradual de los dientes durante todo el tratamiento
  • Permitir que tanto el ortodoncista como el paciente visualicen el resultado final antes de iniciar
  • Fabricar alineadores completamente personalizados con precisión milimétrica

El software ClinCheck® patentado por Invisalign calcula la cantidad exacta de presión necesaria para cada movimiento dental, garantizando resultados óptimos con la mínima incomodidad.

Material SmartTrack®: La innovación exclusiva de Invisalign

Los alineadores Invisalign están fabricados con el material patentado SmartTrack®, que ofrece ventajas significativas:

  • Mayor elasticidad para un ajuste más cómodo
  • Presión constante y controlada sobre los dientes
  • Resistencia a manchas y olores
  • Transparencia superior para máxima discreción

Estudios recientes han demostrado que este material puede lograr un 75% más de previsibilidad en los movimientos dentales en comparación con otros materiales utilizados en ortodoncia transparente. Enlace a estudio científico sobre materiales de alineadores

Alineadores Spark o Invisalign

Probablemente, haya visto muchos anuncios comerciales de Invisalign y habrá visto cómo los alineadores transparentes son una forma excelente de enderezar los dientes sin las molestias de los frenos tradicionales. Pero, ¿sabía que ahora hay una segunda opción cuando se trata de alineadores transparentes?

¡Ahora también hay alineadores Spark! Tanto Invisalign como Spark utilizan una serie de alineadores transparentes para mover lentamente los dientes a sus ubicaciones ideales, y cada uno usa tecnología 3D para crear conjuntos de alineadores que están perfectamente calibrados para lograr el movimiento de los dientes mediante una presión suave y constante. Entonces…

¿Cuál es la diferencia entre los alineadores Invisalign y Spark?

  • Material. La mayor diferencia entre los dos tratamientos es el material utilizado para fabricar los alineadores. Invisalign emplea SmartTrack, un material plástico patentado que está diseñado para brindar durabilidad y el movimiento eficiente de los dientes. Los alineadores Spark también usan un material patentado, pero el suyo se llama TruGEN. TruGEN es más delgado y más resistente a las manchas que SmartTrack.
  • Comodidad. Se considera que los Invisalign y los Spark son mucho más cómodos que la ortodoncia tradicional. Las empresas recortan cuidadosamente los alineadores para asegurarse de que no irriten los tejidos blandos de la boca, y son excelentes para las personas con sensibilidad o alergias a los metales.
  • Precio. Cuando se trata de precio, Invisalign y Spark son comparables. El precio de ambos tratamientos de ortodoncia invisible varía según las necesidades únicas del paciente.
  • Eficacia. Tanto Invisalign como Spark pueden abordar una variedad de problemas de desalineación dental, como dientes rotados, apiñamiento y problemas de mordida. ¡Ambos tienen el potencial de producir resultados sobresalientes!
  • Disponibilidad. Muchos dentistas generales y ortodoncistas ofrecen Invisalign. Sin embargo, el sistema Spark requiere un mayor nivel de capacitación y, por lo tanto, solo lo ofrecen algunos ortodoncistas.

Alineadores Invisalign Vs Alineadores Spark: Comparativa exhaustiva

Aunque ambas opciones ofrecen alternativas claras a los brackets tradicionales, existen diferencias importantes a considerar:

Característica Invisalign Spark
Experiencia clínica +12 millones de casos tratados Historia clínica más reciente
Material SmartTrack® patentado Material TruGEN™
Transparencia Alta transparencia Similar o ligeramente superior
Costo promedio €3,500 – €6,000 €3,000 – €5,500
Disponibilidad Amplia red de proveedores certificados Red de proveedores en expansión

 

Ventajas competitivas de Invisalign

Los alineadores Invisalign destacan por:

  1. Respaldo científico extenso: Más de 20 años de investigación y desarrollo
  2. Tecnología iTero: Escaneo digital de precisión superior
  3. Capacidad de tratar casos complejos: El sistema Invisalign puede abordar problemas de mordida más severos

Un estudio comparativo publicado en el Journal of Clinical Orthodontics encontró que Invisalign logró resultados superiores en correcciones de rotación y torque en comparación con otros sistemas de alineadores.

 

alineadores invisalign

 

Alineadores Invisalign: La opción superior para la ortodoncia de adolescentes

Los alineadores Invisalign ofrecen una alternativa estética y eficaz a los brackets tradicionales, transformando sonrisas adolescentes con tecnología de vanguardia, mayor comodidad y tratamientos más rápidos, mejorando simultáneamente su autoestima durante esta etapa crucial.

 

Ortodoncia para adolescentes: ¿Por qué Invisalign es la opción preferida?

La adolescencia es una etapa crucial para la salud dental y el bienestar emocional. Invisalign Teen está específicamente diseñado para abordar las necesidades únicas de los pacientes adolescentes.

Características exclusivas de Invisalign Teen

Indicadores de cumplimiento

Los alineadores Invisalign Teen incluyen pequeños indicadores azules que se desvanecen con el uso, permitiendo a padres y ortodoncistas verificar que se están utilizando el tiempo recomendado (20-22 horas diarias).

Alineadores de reemplazo gratuitos

Reconociendo que los adolescentes pueden perder ocasionalmente sus alineadores, Invisalign Teen incluye hasta seis alineadores de reemplazo sin costo adicional.

Adaptación a dientes en erupción

El sistema está diseñado para acomodar los molares en desarrollo y los dientes permanentes que aún están emergiendo, un desafío común en la ortodoncia adolescente.

Impacto psicológico positivo

Un estudio publicado en el American Journal of Orthodontics demostró que los adolescentes que utilizan alineadores transparentes reportan:

  • 60% menos ansiedad social relacionada con su apariencia
  • 70% menos episodios de acoso relacionados con la ortodoncia
  • Mejora significativa en los indicadores de autoestima

 

Opiniones sobre alineadores Invisalign: Lo que dicen los pacientes reales

Las experiencias de usuarios reales ofrecen valiosa información para quienes consideran este tratamiento.

Testimonios de adolescentes

  • Al principio estaba nerviosa, pero después de la primera semana ni siquiera notaba que llevaba los alineadores. Mis amigos se sorprendieron cuando les dije que estaba en tratamiento de ortodoncia. – Marina, 16 años
  • Juego baloncesto competitivo y con los brackets tradicionales habría tenido que usar un protector bucal especial. Con Invisalign simplemente me los quito durante los partidos. – Carlos, 15 años

Perspectiva de los padres

La satisfacción parental alcanza el 92% según encuestas independientes, destacando:

  • Facilidad de mantenimiento e higiene
  • Menos visitas de emergencia al ortodoncista
  • Resultados visibles que justifican la inversión

Análisis de satisfacción profesional

Los ortodoncistas certificados en Invisalign reportan:

  • Mejor adherencia al tratamiento en adolescentes comparado con métodos tradicionales
  • Mayor precisión en resultados finales
  • Comunicación más efectiva del plan de tratamiento a pacientes y padres

Aspectos prácticos del tratamiento Invisalign

Duración y fases del tratamiento

El tiempo promedio de tratamiento con Invisalign para adolescentes oscila entre 12 y 18 meses, significativamente menor que los 24 meses promedio de los brackets tradicionales.

El proceso típico incluye:

  1. Consulta inicial y diagnóstico (1-2 semanas)
  2. Escaneo digital y diseño del plan de tratamiento (2-3 semanas)
  3. Fabricación y entrega de los primeros alineadores (2-3 semanas)
  4. Fase activa de tratamiento (12-18 meses)
  5. Fase de retención (varía según cada caso)

Inversión económica y opciones de financiamiento

El costo de Invisalign varía según la complejidad del caso y la ubicación geográfica, pero generalmente:

  • Casos leves: €3,500 – €4,500
  • Casos moderados: €4,500 – €5,500
  • Casos complejos: €5,500 – €7,000

La mayoría de las clínicas ofrecen planes de pago que hacen que el tratamiento sea más accesible, con opciones de financiamiento sin intereses en periodos de hasta 24 meses.

Preguntas frecuentes sobre alineadores Invisalign

¿Invisalign funciona para todos los casos ortodóncicos?

Mientras que Invisalign puede tratar hasta el 90% de los casos ortodóncicos, algunas maloclusiones severas podrían requerir enfoques tradicionales o combinados. Una consulta con un ortodoncista certificado determinará si eres candidato.

¿Cuánto tiempo debo usar los alineadores cada día?

Para resultados óptimos, los alineadores deben usarse entre 20-22 horas diarias, quitándolos únicamente para comer, beber (excepto agua) y realizar la higiene bucal.

¿Son realmente invisibles los alineadores Invisalign?

Aunque no son completamente invisibles, son extremadamente discretos. A distancia de conversación normal, resulta muy difícil notar que alguien está usando alineadores Invisalign.

¿El tratamiento con Invisalign es doloroso?

La mayoría de pacientes experimenta una ligera presión al cambiar a un nuevo alineador, que generalmente disminuye después de 2-3 días. Esta sensación es significativamente menor que la asociada con los ajustes de brackets tradicionales.

¿Puedo practicar deportes con Invisalign?

Absolutamente. Para deportes sin contacto, puedes mantener los alineadores puestos. Para deportes de contacto, puedes quitártelos y usar un protector bucal convencional, volviendo a colocar los alineadores después.

Conclusión: Por qué elegir Invisalign para tu adolescente

Los alineadores Invisalign representan la opción superior para la ortodoncia adolescente, combinando tecnología de vanguardia, comodidad superior y beneficios psicológicos significativos durante una etapa crucial del desarrollo. Con tasas de éxito comparables o superiores a los métodos tradicionales, menor tiempo de tratamiento y ventajas estéticas indiscutibles, Invisalign ofrece una solución integral que beneficia tanto la salud dental como el bienestar emocional de los adolescentes.
Al elegir Invisalign, no solo estás invirtiendo en la sonrisa de tu hijo, sino también en su confianza y autoestima durante años formativos cruciales.

Este artículo ha sido revisado por especialistas en ortodoncia. La información proporcionada tiene fines educativos y no sustituye la consulta profesional. Para un diagnóstico preciso, consulte siempre con un ortodoncista certificado.

¿Qué es lo correcto para ti?

Sabemos que tener los dientes rectos sin importar la edad, te da confianza, ¡y usar alineadores transparentes es una forma discreta y confiable de lograrlo!
Cuando la mayoría de la gente piensa en tratamientos odontológicos en general con alineadores transparentes, Invisalign es lo primero que les viene a la mente. Después de todo, Invisalign existe desde hace décadas y ha demostrado su eficacia en innumerables pacientes.
Sin embargo, existen otros tratamientos de alineadores transparentes que también ofrecen resultados sobresalientes, uno de los cuales es el sistema Spark.
Tanto Invisalign como Spark ofrecen algunas ventajas sobresalientes. Pero la mejor manera de averiguar cuál es el mejor para usted es visitando su clínica dental.

Después de que dentista de confianza examine sus dientes y analice su desalineación dental, le informará qué opción cree que es mejor para sus circunstancias. Luego, puede tomar una mejor decisión sobre cómo seguir adelante con su tratamiento.

Sigue leyendo si te interesa conocer más sobre tipos de ortodoncia invisible.
Somos tu clínica dental de confianza. Especialista en Ortodoncia invisible en Alcoy Ortodoncia invisible en Benetusser

Vitalcoy Ortodoncia invisible en Alcoy opiniones

Vitalcoy Ortodoncia invisible en Alcoy opiniones

La ortodoncia invisible endereza los dientes mediante el uso de una serie de alineadores transparentes y removibles que se cambian cada una o dos semanas. Cada alineador es ligeramente diferente al anterior, lo que permite que sus dientes se muevan lenta y constantemente hacia la posición final deseada.

Clínica dental Vitalcoy te ofrece una amplia gama de tratamientos con las técnicas y tecnologías de vanguardia que no encontrarás en ninguna otra clínica de dentistas en Alcoy.

¿Cuánto tiempo se tarda en implantar la Ortodoncia Invisible?

El tiempo de tratamiento varía, pero generalmente estará entre seis meses (para ajustes menores) y algún tiempo más (para casos más complejos). Hay diferentes tipos de ortodoncia invisible.

¿Cuáles son las alternativas a la ortodoncia invisible?

Invisalign existe desde finales de los 90 y ha revolucionado el tratamiento de ortodoncia. Antes de la ortodoncia invisible, los brackets metálicos y otras alternativas menos atractivas eran las únicas opciones tangibles para las personas que querían renovar sus sonrisas. Debido a su prominencia, los aparatos ortopédicos metálicos se consideraban principalmente como una opción para niños y adolescentes; los adultos tendían a rehuir el tratamiento de ortodoncia.

Los alineadores Invisalign han inspirado la creación de productos similares que priorizan la estética:

  • Brackets cerámicos : Los brackets cerámicos son similares a los brackets metálicos, pero utilizan brackets transparentes o del color del diente en lugar de brackets metálicos. Se notan menos que los brackets metálicos, pero no son tan discretos como Invisalign.
  • Otros aparatos ortopédicos transparentes: dado que algunas de las patentes de Invisalign expiraron en 2017, han surgido varios competidores que ofrecen alternativas de aparatos ortopédicos transparentes. Esta es una gran noticia para los consumidores. Los proveedores dentales han comenzado a ofrecer precios más competitivos. Los frenos transparentes no son necesariamente más lentos que los de metal o cerámica, pero dependerá de la complejidad de su caso.
  • Brackets Damon: Los brackets Damon emplean un tipo único de tecnología para optimizar el proceso de alisado. Los arcos de alambre tradicionales se reemplazan con alambres de autoligado más livianos y con memoria de forma que no necesitan ajuste. No hay elásticos, ni ataduras, ni expansores de paladar. El sistema Damon reduce la cantidad de fricción que experimenta cada diente al incorporar un mecanismo deslizante

Con las nuevas tecnologías ahora disponibles, los proveedores dentales pueden monitorear muchos aspectos de su progreso de ortodoncia de manera remota, ahorrándole algunos viajes al dentista.

Ventajas de la nueva ortodoncia invisible:

  • Tendrá una mejor salud bucal tanto a corto como a largo plazo: el tiempo adicional que dedica a limpiarse los dientes, combinado con la corrección de cualquier problema de espacio, hará que sus dientes estén más sanos y limpios que nunca.
  • Casi invisible: la mayoría de la gente no notará que llevas ortodoncia.
  • Comodidad: La ortodoncia invisible es generalmente más cómodo que muchos otros aparatos ortopédicos porque no tienen soportes ni cables fijos.
  • Son removibles y más fáciles de mantener limpios que los frenos fijos.
  • Tratan un gran número de problemas de alineación
  • Te volverás más consciente de lo que comes y bebes: tener que cepillarte los dientes después de cada bebida, comida o merienda, te hará preguntarte si ese café o chocolate realmente vale la pena. Es bastante común que las personas se vean y se sientan más saludables desde que comenzaron el tratamiento de ortodoncia.
  • Tratamientos más cortos. Requieren menos viajes al dentista que los frenos fijos.

Reserve una consulta gratuita en nuestra clínica dental en Alcoy para obtener más información sobre cómo obtener la nueva Ortodoncia invisible, frenos transparentes o cualquier otro tratamiento de ortodoncia.

Vea usted mismo lo que la ortodoncia invisible puede hacer por su sonrisa. No confíe solo en nuestra palabra, vea nuestros resultados.

 

 

¡Vitalcoy, su dentista de confianza en Alcoy!

Que opinan nuestros pacientes de clínica dental en Alcoy

Nuestra Clínica dental de Alcoy dispone de los medios técnicos más avanzados que ofrecen como beneficios para el paciente un diagnóstico más preciso, más seguridad y mayor comodidad.

-Sin duda la mejor clínica dental en la que he estado!!
Es la cuarta vez que vengo y siempre salgo más que contenta!!!
Inés la chica que me atiende en recepción
 … –

Sindiisnada Maria ★★★★★

– Trato super familiar. Todo muy limpio, aseado, los dentistas maravillosos. Inés y Adrián los mejores. Gracias a este equipo hasta me gusta ir al dentista

Patricia Olmedo ★★★★★

-Clínica 100% recomendable. Todos sus empleados son cercanos y super amables. Te atienden normalmente a la hora de la cita y te aconsejan siempre de la … More

Ester Micó ★★★★★

– Clínica 100% recomendable. Todos sus empleados son cercanos y super amables. Te atienden normalmente a la hora de la cita y te aconsejan siempre de la … More

Ester Micó ★★★★★

Lo recomiendo 100%. Llevo años yéndome a VITALCOY. Y mi familia también. Y siempre salgo satisfecha.
Gracias por siempre está disponible cuando uno más
 … More

Lorrany Dos Santos ★★★★★

– Trato muy amable y familiar. Muy sinceras en cuanto al tratamiento a realizar. Además buscaron la mejor opción y más económica.
Sin duda volveré y les
 … More

Cristina Miró Tomás ★★★★★

Con la nueva Ortodoncia Invisible, hay un antes y un después.

Te puede interesar seguir leyendo y saber cuanto cuesta una ortodoncia invisible en España.

Otros temas de interés: Alineadores Spark, cómo funcionan.

Clínica dental especialista en Tratamientos de Ortodoncia invisible en Alcoy