Indice de contenidos
¿Dientes amarillos? Causas y soluciones.
¿Sabías que una sonrisa cálida tiene una influencia positiva en las personas con las que se relaciona?
Si trabajas en el sector de los servicios, una sonrisa te retrata como una persona simpática y amistosa, lo que mejora la experiencia general del cliente. Además de otros factores, mostrar una sonrisa auténtica le hace parecer competente.
Una dentadura hermosa y una sonrisa natural y segura de sí misma indican alegría y éxito tanto profesional como personal. Los dientes blancos y de forma armónica hacen que las personas sean atractivas, exudan salud y entusiasmo por la vida, así como una impresión general y una personalidad bien cuidadas.
Tu sonrisa es tu carta de presentación, conoce las soluciones
La combinación del color intrínseco y la presencia de manchas extrínsecas en la superficie del diente influyen en el color y, por tanto, en el aspecto general de los dientes.
Hay dos tipos de manchas dentales que tienen las personas, las extrínsecas y las intrínsecas. Uno puede eliminarse con un tratamiento blanqueador de blanqueamiento dental profesional, pero el otro requiere otras opciones dentales.
Algunas personas tienen una combinación de ambas manchas en las que las manchas extrínsecas se pueden eliminar con blanqueamiento dental, pero quedando algunas manchas intrínsecas.
El amarilleamiento de los dientes también puede estar causado por una amplia gama de factores de salud, desde el uso de medicamentos hasta un cepillado inadecuado.
Manchas extrínsecas
Las manchas extrínsecas afectan a la superficie del esmalte, que es la capa dura y más externa de los dientes. Aunque el esmalte de los dientes puede mancharse fácilmente, estas manchas suelen poder eliminarse o corregirse.
El alquitrán y la nicotina del tabaco son sustancias químicas que pueden causar manchas amarillentas en la superficie de los dientes, en las personas que fuman o mastican.
Como regla general, cualquier alimento o bebida que pueda manchar la ropa también puede manchar los dientes. Por eso, los alimentos y bebidas de color oscuro, como el vino tinto, los refrescos de cola, el chocolate y las salsas oscuras -como la salsa de soja, el vinagre balsámico, la salsa para espaguetis y el curry- pueden decolorar los dientes.
Además, algunas frutas y verduras como las uvas, los arándanos, las cerezas, la remolacha y las granadas tienen el potencial de manchar los dientes.
Estos productos tienen un alto contenido en cromógenos, sustancias que producen pigmentos y que pueden adherirse al esmalte dental. Los polos y los caramelos son otros alimentos que pueden manchar los dientes.
Manchas intrínsecas
Las manchas intrínsecas se producen dentro de la estructura interna del diente, llamada dentina, lo que hace que estas manchas sean más difíciles de eliminar.
Numerosos medicamentos pueden causar manchas intrínsecas en los dientes. Si los niños toman los antibióticos tetraciclina o doxiciclina cuando sus dientes aún se están desarrollando (antes de los 8 años), sus dientes pueden adquirir un color amarillo pardo.
Las mujeres que toman tetraciclina después del cuarto mes de embarazo o durante la lactancia, pueden hacer que el niño tenga los dientes de leche descoloridos.
En la edad adulta, el uso de enjuagues bucales de prescripción médica que contienen clorhexidina, un compuesto que puede reducir las bacterias y tratar la gingivitis (inflamación de las encías), puede causar decoloraciones marrones en los dientes.
Posibles causas del amarillo en los dientes
Uso de Medicamentos
Diferentes fármacos con un derivado de la tetraciclina, manchan los dientes.
Someterse a tratamientos de quimioterapia, así como a la radiación en la cabeza y el cuello, puede provocar manchas intrínsecas. Incluso algunos fármacos relativamente comunes, como los antihistamínicos, los antipsicóticos y los medicamentos para la presión arterial, pueden a veces amarillear los dientes.
Aunque el flúor puede ser beneficioso para los dientes, ya que refuerza el esmalte y previene las caries, consumir demasiado este mineral no es bueno para el color de los dientes. La fluorosis, que se produce por una cantidad excesiva de flúor, puede provocar tenues vetas blancas o manchas marrones en los dientes.
Además de las manchas, otras causas de los dientes descoloridos son la genética, la edad, las enfermedades y las lesiones.
Otras razones para tener coloración amarilla en los dientes

Consumo de tabaco
Como es conocido, el tabaco es uno de los hábitos que más daño hacen a la salud bucodental. Su consumo no solo oscurece en gran medida los dientes sino que puede causar mal aliento y otros muchos problemas graves. Además del tabaco, existen otras drogas que son perjudiciales para la salud dental,
El amarillo puede ser genético
Hay muchas razones por las que algunas personas son más propensas a tener una coloración amarilla en sus dientes. La razón número 1 es la genética. La dentinogénesis imperfecta y la amelogénesis imperfecta son dos trastornos hereditarios que hacen que los dientes se desarrollen de forma incorrecta y pueden provocar la decoloración.
La herencia puede ser la razón por la que algunos individuos tienen naturalmente un esmalte dental más brillante o grueso que otros. Es posible que simplemente se nazca con dientes más amarillos (o más blancos) en comparación con los de otras personas.
La edad puede oscurecer el color de tus dientes: A medida que envejece, la capa externa del esmalte se adelgaza con el tiempo, haciendo que los dientes parezcan más amarillos.
Remedios para los dientes amarillos
Lo mejor es elegir algunos tratamientos y rotarlos a lo largo de la semana. Algunas de las sugerencias que aparecen a continuación no cuentan con investigaciones que las respalden, pero se ha demostrado su eficacia mediante informes anecdóticos.

Limpieza profesional de diente
La limpieza dental profesional es realizada exclusivamente por personal especializado. En primer lugar, la zona por encima de las encías se somete a una limpieza dental exhaustiva.
El siguiente paso es eliminar la placa incluso en aquellas áreas que tienden a ser difíciles de alcanzar. Para lograrlo se utilizan herramientas manuales especiales.
Finalmente, se aplican pastas de pulido para eliminar las decoloraciones restantes de los dientes. Las pastas para pulir también ayudan a suavizar la superficie de los dientes y les dan un brillo brillante.
Tecnología de flujo de aire
La tecnología de flujo de aire se basa en la innovadora tecnología de acero en polvo que ayuda a eliminar suavemente la placa y las decoloraciones.
El pulido de alto brillo y la fluoración que siguen pondrán una sonrisa radiante en su rostro.
Blanqueamiento dental
Esta técnica es la más solicitada y conocida por los pacientes. Para aplicarla, es imprescindible haber realizado previamente una limpieza profesional para eliminar por completo el sarro y las manchas que pudiera haber.
Existen muchas técnicas distintas para aclarar el color de los dientes, actualmente la más utilizada consiste en combinar geles que blanquean los dientes al reaccionar con determinada luz led o láser, con la aplicación de otro tipo de producto que el paciente se aplica en casa, bajo supervisión del dentista en revisiones frecuentes durante el tratamiento.
Es importante recalcar que el blanqueamiento dental no es una técnica de por vida, es decir, el aclaramiento es temporal y en manos del paciente está alargarlo al máximo. Mediante una perfecta higiene y un control de los alimentos que consumimos logramos extender mucho la duración del tratamiento.
En resumen, el blanqueamiento es la opción preferida de los pacientes puesto que es la más cómoda y la que mejor resultado da.
Soluciones alternativas
Es importante resaltar que la opción más confiable siempre será el tratamiento directo con tu dentista de confianza, sin embargo si estás buscando soluciones alternativas, aquí podrás ver algunas.
Experimenta para encontrar una solución que funcione para ti. Aquí tienes algunas opciones naturales para deshacerte de los dientes amarillos.

Cepillarse los dientes
Su primer plan de acción debe ser cepillarse los dientes más a menudo y de forma correcta. Es especialmente importante que te cepilles después de consumir alimentos y bebidas que puedan provocar el amarillamiento de los dientes.
Sin embargo, ten cuidado con el cepillado inmediatamente después de consumir alimentos y bebidas ácidas. Cepillarse inmediatamente puede hacer que los ácidos desprendan más esmalte y provoquen la erosión.
Bicarbonato de sodio y peróxido de hidrógeno
Se dice que el uso de una pasta hecha de bicarbonato de sodio y peróxido de hidrógeno elimina la acumulación de placa y bacterias para deshacerse de las manchas.
Mezcla 1 cucharada de bicarbonato de sodio con 2 cucharadas de peróxido de hidrógeno para hacer una pasta. Enjuágate bien la boca con agua después de cepillarte con esta pasta. También puedes utilizar la misma proporción de ingredientes para hacer un enjuague bucal. Adicionalmente puedes probar a usar bicarbonato de sodio con agua.
Vinagre de sidra de manzana
El vinagre de sidra de manzana puede utilizarse en cantidades muy pequeñas para blanquear los dientes. Haz un enjuague bucal mezclando 2 cucharaditas de vinagre de sidra de manzana con 200 ml de agua. Haz buches con la solución durante 30 segundos. A continuación, enjuágate con agua y cepíllate los dientes.
Cáscaras de limón, naranja o plátano
Algunas personas afirman que frotar cáscaras de limón, naranja o plátano en los dientes los hará más blancos. Se cree que el compuesto d-limoneno y/o el ácido cítrico, que se encuentra en las cáscaras de algunos cítricos, ayudan a blanquear los dientes.
Frota suavemente las cáscaras de fruta sobre los dientes durante unos 2 minutos. Asegúrate de enjuagarte bien la boca y de cepillarte los dientes después.
Resumen
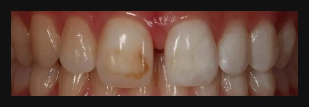
Para tratar eficazmente una mancha dental, es importante determinar dónde se encuentra la decoloración.
Una mancha de diente intrínseca describe una en la que existe una decoloración en la capa interna del diente, o la dentina. Aunque la dentina está debajo del esmalte dental, la dentina oscurecida puede dar a todo el diente una apariencia descolorida.
Las manchas intrínsecas de los dientes son de naturaleza más permanente que las extrínsecas. Este tipo de decoloración puede ser causado por una lesión oral, el uso de ciertos tipos de medicamentos (particularmente tetraciclina) o la sobreexposición al fluoruro.
Las manchas dentales intrínsecas no responden al blanqueamiento de los dientes como lo hacen las manchas extrínsecas.
Aunque las manchas extrínsecas no son tan permanentes como las intrínsecas, no responden al cepillado regular. Incluso los productos para blanquear los dientes de venta libre pueden tener poco efecto porque estas manchas pueden ser bastante profundas.
Si un paciente tiene problemas estéticos además de las manchas dentales, es posible que desee someterse a un tratamiento de estética dental con carillas de porcelana, que puede abordar una amplia gama de defectos con una sola aplicación.
Incluso si como en este ejemplo, los dientes parecen estar perfectamente limpios, todavía hay muchas bacterias en su boca |
En esta imagen se puede ver la bacteria coloreada mediante un colorante (rosa) ¿No es sorprendente ver cuantas bacterias hay incluso en diente aparentemente sanos? |
Por eso es tan importante hacerse una limpieza dental al menos 1 o 2 veces al año. Después de todo la prevención siempre es mejor y más barata que arreglar algo que ya está roto. |
Conoce nuestras técnicas dentales de vanguardia y tratamientos dentales estéticos.
Visitanos en:
- Vitalcoy, tu clínica dental especialista en ortodoncia invisible en Alcoy.
- Vitalbene, tu clínica dental de confianza y especialista en ortodoncia invisible en Benetusser
- Conoce todo los necesario sobre qué es la ortodoncia invisible y sus tipos.

































































































































