Indice de contenidos
La ortodoncia invisible endereza los dientes mediante el uso de una serie de alineadores transparentes y removibles que se cambian cada una o dos semanas. Cada alineador es ligeramente diferente al anterior, lo que permite que sus dientes se muevan lenta y constantemente hacia la posición final deseada.
Clínica dental Vitalcoy te ofrece una amplia gama de tratamientos con las técnicas y tecnologías de vanguardia que no encontrarás en ninguna otra clínica de dentistas en Alcoy.
¿Cuánto tiempo se tarda en implantar la Ortodoncia Invisible?
El tiempo de tratamiento varía, pero generalmente estará entre seis meses (para ajustes menores) y algún tiempo más (para casos más complejos). Hay diferentes tipos de ortodoncia invisible.
¿Cuáles son las alternativas a la ortodoncia invisible?
Invisalign existe desde finales de los 90 y ha revolucionado el tratamiento de ortodoncia. Antes de la ortodoncia invisible, los brackets metálicos y otras alternativas menos atractivas eran las únicas opciones tangibles para las personas que querían renovar sus sonrisas. Debido a su prominencia, los aparatos ortopédicos metálicos se consideraban principalmente como una opción para niños y adolescentes; los adultos tendían a rehuir el tratamiento de ortodoncia.
Los alineadores Invisalign han inspirado la creación de productos similares que priorizan la estética:
- Brackets cerámicos : Los brackets cerámicos son similares a los brackets metálicos, pero utilizan brackets transparentes o del color del diente en lugar de brackets metálicos. Se notan menos que los brackets metálicos, pero no son tan discretos como Invisalign.
- Otros aparatos ortopédicos transparentes: dado que algunas de las patentes de Invisalign expiraron en 2017, han surgido varios competidores que ofrecen alternativas de aparatos ortopédicos transparentes. Esta es una gran noticia para los consumidores. Los proveedores dentales han comenzado a ofrecer precios más competitivos. Los frenos transparentes no son necesariamente más lentos que los de metal o cerámica, pero dependerá de la complejidad de su caso.
- Brackets Damon: Los brackets Damon emplean un tipo único de tecnología para optimizar el proceso de alisado. Los arcos de alambre tradicionales se reemplazan con alambres de autoligado más livianos y con memoria de forma que no necesitan ajuste. No hay elásticos, ni ataduras, ni expansores de paladar. El sistema Damon reduce la cantidad de fricción que experimenta cada diente al incorporar un mecanismo deslizante
Con las nuevas tecnologías ahora disponibles, los proveedores dentales pueden monitorear muchos aspectos de su progreso de ortodoncia de manera remota, ahorrándole algunos viajes al dentista.
Ventajas de la nueva ortodoncia invisible:
- Tendrá una mejor salud bucal tanto a corto como a largo plazo: el tiempo adicional que dedica a limpiarse los dientes, combinado con la corrección de cualquier problema de espacio, hará que sus dientes estén más sanos y limpios que nunca.
- Casi invisible: la mayoría de la gente no notará que llevas ortodoncia.
- Comodidad: La ortodoncia invisible es generalmente más cómodo que muchos otros aparatos ortopédicos porque no tienen soportes ni cables fijos.
- Son removibles y más fáciles de mantener limpios que los frenos fijos.
- Tratan un gran número de problemas de alineación
- Te volverás más consciente de lo que comes y bebes: tener que cepillarte los dientes después de cada bebida, comida o merienda, te hará preguntarte si ese café o chocolate realmente vale la pena. Es bastante común que las personas se vean y se sientan más saludables desde que comenzaron el tratamiento de ortodoncia.
- Tratamientos más cortos. Requieren menos viajes al dentista que los frenos fijos.
Reserve una consulta gratuita en nuestra clínica dental en Alcoy para obtener más información sobre cómo obtener la nueva Ortodoncia invisible, frenos transparentes o cualquier otro tratamiento de ortodoncia.
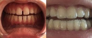
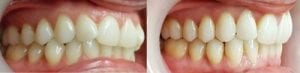
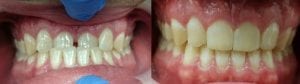
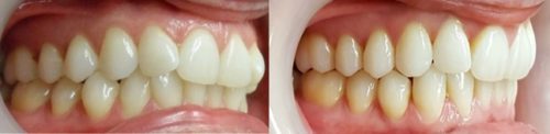
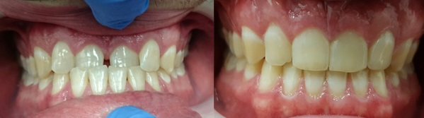
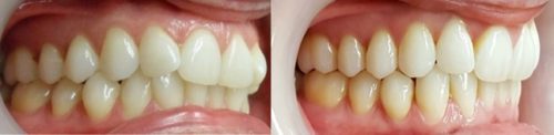
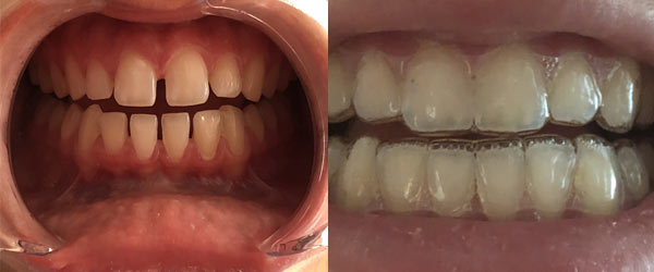
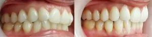
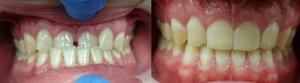
Vea usted mismo lo que la ortodoncia invisible puede hacer por su sonrisa. No confíe solo en nuestra palabra, vea nuestros resultados.
¡Vitalcoy, su dentista de confianza en Alcoy!
Que opinan nuestros pacientes de clínica dental en Alcoy
Nuestra Clínica dental de Alcoy dispone de los medios técnicos más avanzados que ofrecen como beneficios para el paciente un diagnóstico más preciso, más seguridad y mayor comodidad.
-Sin duda la mejor clínica dental en la que he estado!!
Es la cuarta vez que vengo y siempre salgo más que contenta!!!
Inés la chica que me atiende en recepción … –
– Trato super familiar. Todo muy limpio, aseado, los dentistas maravillosos. Inés y Adrián los mejores. Gracias a este equipo hasta me gusta ir al dentista –
-Clínica 100% recomendable. Todos sus empleados son cercanos y super amables. Te atienden normalmente a la hora de la cita y te aconsejan siempre de la … More –
– Clínica 100% recomendable. Todos sus empleados son cercanos y super amables. Te atienden normalmente a la hora de la cita y te aconsejan siempre de la … More –
– Lo recomiendo 100%. Llevo años yéndome a VITALCOY. Y mi familia también. Y siempre salgo satisfecha.
Gracias por siempre está disponible cuando uno más … More –
– Trato muy amable y familiar. Muy sinceras en cuanto al tratamiento a realizar. Además buscaron la mejor opción y más económica.
Sin duda volveré y les … More –
Con la nueva Ortodoncia Invisible, hay un antes y un después.
Te puede interesar seguir leyendo y saber cuanto cuesta una ortodoncia invisible en España.
Otros temas de interés: Alineadores Spark, cómo funcionan.
Clínica dental especialista en Tratamientos de Ortodoncia invisible en Alcoy


























































































































































