Indice de contenidos
¿Qué es la agenesia dental? Y sus tipos
La agenesia dental es una condición en la que faltan dientes. La anodoncia es un trastorno genético que se define como la ausencia de todos los dientes. Suele ocurrir como parte de un síndrome que incluye otras anomalías. También son raras, pero más comunes que la anodoncia, la hipodoncia y la oligodoncia. La hipodoncia es de origen genético y suele implicar la ausencia de 1 a 5 dientes. La oligodoncia también es de origen genético y es el término utilizado para describir una condición en la que faltan seis o más dientes.
La hipodoncia/oligodoncia/anodoncia puede considerarse como una entidad clínica única pero con una gravedad creciente.
Estas afecciones pueden afectar a las piezas dentales primarias o permanentes, pero la mayoría de los casos afectan a los dientes permanentes. La agenesia dental se produce siguiendo un patrón específico de dientes perdidos. No solo hay que tener en cuenta el número de dientes que faltan, sino también el tipo de dientes que faltan.
La agenesia dental suele estar asociada a un grupo de enfermedades que afectan al desarrollo o la función de los dientes, el pelo, las uñas y las glándulas sudoríparas, denominadas displasias ectodérmicas.
¿Tienes caída de dientes? Conoce los problemas que generan
Las consecuencias de la pérdida de dientes se describen a menudo como un «efecto dominó». Esto se debe a que la pérdida de un solo diente puede llevar a la pérdida de otros dientes, y puede ocurrir con bastante rapidez.
¿Cuáles son las causas de la perdida de piezas dentales?
Cuando se pierde un diente, se crea un hueco entre los dientes vecinos, no solo por encima de la encía, sino también en el espacio radicular. Los dientes vecinos pueden «sentir» el espacio vacío a su lado, y en un espacio de tiempo sorprendentemente corto, las raíces de esos dientes empezarán a desplazarse hacia la zona vacía.
A medida que se desplazan, la estructura de la raíz se debilita y todo el diente puede aflojarse. Esto significa que este diente también es mucho más probable que se caiga, creando huecos adicionales que amenazan a los dientes a ambos lados de esos espacios.
Esto es lo que se llama el efecto dominó de la cascada de eventos que se produce cuando se pierde un diente. Por supuesto, a medida que cada diente vecino se desplaza, también se amplía el espacio que lo separa de su vecino. El nuevo espacio, aunque sea pequeño, facilita la entrada de placa, sarro y caries, aumentando el riesgo de enfermedad de las encías, la principal causa de pérdida de dientes en adultos.
Y no solo se ven afectados los dientes vecinos. Nuestros dientes están diseñados para trabajar en parejas, con cada diente superior «emparejado» a su correspondiente diente inferior. Cuando existe falta de dientes, la presión sobre el diente emparejado también desaparece, dejando que ese diente se desplace y también se debilitan.

¿Por qué causa tanto dolor la ausencia de un diente?
Un mayor riesgo de pérdida de otros dientes es solo una de las consecuencias de no sustituir un diente perdido. Dado que nuestros dientes funcionan por parejas, la pérdida de un diente puede alterar el equilibrio de la mordida. Al cambiar el equilibrio, se ejerce más presión sobre otros dientes y otras zonas de la boca, a menudo sin que nos demos cuenta.
Con el tiempo, las diferencias en la tensión muscular pueden afectar a las articulaciones de la mandíbula, causando un importante dolor facial y de mandíbula y dolores de cabeza crónicos.
La pérdida de dientes no tratada puede causar un trastorno de la articulación temporomandibular, una enfermedad crónica que puede provocar síntomas dolorosos continuos, además de afectar a la forma de morder, masticar e incluso hablar.
¿Qué pasa con las mandíbulas si hay ausencia de piezas dentales?
Si te has roto el brazo y no has podido utilizarlo durante meses, es probable que el músculo se encoja un poco porque no se ha utilizado. Su mandíbula es similar; si no hay dientes, la mandíbula se encoge. Si solo te faltan uno o dos dientes, es posible que ni siquiera notes el cambio, pero si te faltan todos o la mayoría de los dientes, esto puede hacer que tu mandíbula se debilite.
Una mandíbula débil puede causar muchos problemas, como la fractura de la mandíbula y la pérdida de dientes porque la mandíbula no puede soportar los dientes restantes. Si el hueso de la mandíbula es débil, los implantes y los puentes dentales quedan descartados, por lo que la única opción son las prótesis dentales.
Sin embargo, dependiendo de su presupuesto, su dentista puede reconstruir su mandíbula con injertos de hueso. Pero es importante que evites a toda costa llegar a este punto, ya que el proceso además de ser bastante costoso, es muy engorroso y doloroso a la vez.
Problemas asociados a falta de dientes:
1.- Un espacio dentario faltante con los dientes vecinos puede provocar el desplazamiento de los dientes en el resto del arco. Esto resultará en un daño potencial a largo plazo a muchos de sus dientes naturales y afectará la apariencia de sus dientes.
2.- Es probable que los dientes opuestos directamente encima o debajo del espacio dentario faltante se desvíen gradualmente. A esto lo llamamos sobre erupción y esto puede resultar en el aflojamiento de su diente opuesto y también afectar la apariencia estética de sus dientes.
3.- Después de la extracción de un diente, algunos pacientes son vulnerables a una pérdida ósea severa (reabsorción) en el área del diente faltante. Esto puede resultar en una recesión de las encías a largo plazo, lo que también puede hacer que sea menos probable que se pueda colocar un implante dental en el futuro en este espacio para reemplazar el diente.
Por esta razón, recomendamos reemplazar los dientes faltantes lo antes posible después de la extracción del diente.
Beneficios directos e indirectos de los implantes dentales:
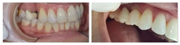
Cuando consideramos reemplazar los dientes faltantes debemos considerar cómo el simple hecho de reemplazar algunos dientes puede ayudarlo a retener el resto de sus dientes. Los beneficios de tener un implante dental en situaciones como la siguiente son difíciles de cuantificar. No se trata solo de los beneficios directos de volver a tener un diente, sino también de los beneficios indirectos de prevenir problemas dentales futuros.
La imagen a continuación es un ejemplo perfecto de cómo un diente de reemplazo de implante dental simple y efectivo puede ayudar al resto de sus dientes a mantenerse saludables, así como a mantener su apariencia de sonrisa naturalmente estética.

¿Por qué se caen los dientes en los adultos?
Además de los accidentes que hacen que se te caigan los dientes de forma automática, aquí tienes un par de razones por las cuales se te pueden caer los dientes:
Enfermedad periodontal. ¿Qué es?
La enfermedad periodontal, también conocida como enfermedad de las encías, es la causa del 70% de todas las pérdidas de dientes en adultos y es la principal razón por la que se nos caen los dientes. La enfermedad de las encías es una infección del tejido gingival que puede dañar tanto el tejido gingival como el hueso de la mandíbula que sostiene nuestros dientes en su lugar.
La periodontitis es frecuente, pero se puede prevenir en gran medida. Suele ser el resultado de una mala higiene bucal. Cepillarse al menos dos veces al día, utilizar el hilo dental a diario y someterse a revisiones dentales periódicas puede mejorar en gran medida las posibilidades de éxito del tratamiento de la periodontitis y también puede reducir la posibilidad de desarrollarla.
Caries. ¿Qué son?
Las caries son algo que afecta a más del 91% de los europeos al menos una vez en su vida, y suelen ser solo un inconveniente menor. Sin embargo, como ocurre con muchas cosas relacionadas con nuestra salud, si una caries no se trata mientras es pequeña puede dar lugar a otros problemas más complejos.
A medida que la caries se hace más grande y profunda en el diente, empezará a afectar a la pulpa, las raíces y los nervios del diente. Esto puede ser doloroso y puede requerir un tratamiento de conductos o la extracción del diente y, por lo tanto, la pérdida de un diente.
Conclusión: ¿Cómo prevenir la pérdida de dientes?
- Cepillarse los dientes durante 2 minutos 2 veces al día.
- Limpiar los dientes una vez al día.
- Visitar al dentista con regularidad.
- Usar un protector nocturno mientras duermes (si tienes bruxismo).
- Usar un protector bucal mientras se practica deporte.
Te puede interesar saber qué es un tratamiento de conducto.



































































































































