Indice de contenidos
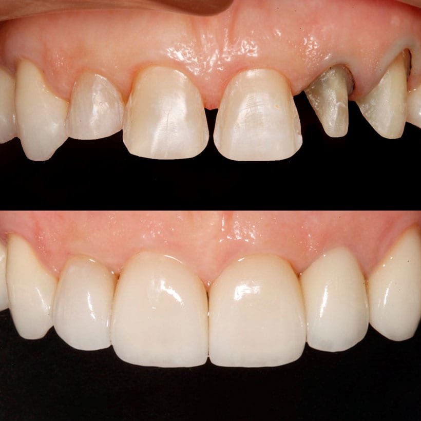
La adhesión compuesta dental o unión cosmética es un procedimiento en el que el dentista agrega una resina dental de color especial para mejorar su apariencia.
Es absolutamente indoloro, no se necesita anestesia y no hay alteración permanente en la estructura natural del diente, ya que no es necesario perforar.
¿Cómo está hecha?
Usando materiales modernos y técnicas simples, la adhesión compuesta dental es una alternativa asequible y más rápida a las coronas o carillas dentales, porque se puede realizar en una sola visita al dentista, lo que le ahorra tiempo y dinero. El tipo de resina dental utilizada influye en el precio de una dentadura postiza, ya que materiales de mayor calidad ofrecen mejor estética, durabilidad y comodidad.
La adhesión compuesta dental puede ayudar a mejorar la apariencia de los dientes ligeramente torcidos. Al agregar un poco de resina en lugares estratégicos, su dentista puede ocultar o enmascarar los dientes desalineados, mejorando la apariencia de su sonrisa.
Sin embargo, tenga en cuenta que solamente es posible corregir problemas menores de posición con la adhesión compuesta dental.
Cuando los dientes están más severamente desalineados, se recomienda un tratamiento de ortodoncia antes de la unión. Puedes consultar en este enlace sobre alineadores spark.
Adhesión compuesta dental para dientes inferiores
La adhesión compuesta dental también se puede utilizar para mejorar la estética de los dientes inferiores, pero hay algunos factores que deben tenerse en cuenta antes de hacerlo, como la mordida del paciente y cómo se unen los dientes superiores e inferiores.
Si el paciente tiene bruxismo o rechina los dientes, la unión dental no es una buena opción porque la resina dental compuesta no es lo suficientemente fuerte para resistir las fuerzas y puede fracturarse.
¿Puede cerrar espacios en mis dientes frontales?
La adhesión compuesta dental es una muy buena opción para cerrar pequeños espacios entre los dientes. Ya sea para un solo espacio o múltiples espacios pequeños entre todos los dientes, puede lograr resultados sorprendentes con la unión.
El dentista coloca la resina compuesta sobre los dientes, cerrando los espacios entre ellos o haciéndolos más discretos si no es posible cerrarlos por completo.
Sin embargo, si el espacio es demasiado grande, el dentista podría considerar un tratamiento de ortodoncia rápido antes de proceder con la unión, para evitar dientes extremadamente grandes o desproporcionados.
Diferencias entre la adhesión compuesta dental y las carillas
Existen algunas diferencias entre las uniones compuestas y las carillas que deben ser consideradas tanto por el dentista como por el paciente antes de continuar con cualquier tratamiento. Aquí están los más importantes:
Adhesión compuesta dental:
- Tratamiento no invasivo. No se realizan perforaciones ni daños permanentes a los dientes naturales, y se pueden reparar fácilmente si es necesario.
- Ofrece resultados inmediatos, ya que se puede ejecutar en una sola visita al dentista.
- Más económicas que las carillas de porcelana. La adhesión compuesta dental cuesta entre 250 y 300 € por diente.
- Dura de 5 a 7 años, si el paciente lo cuida bien.
- No se rompen ni se astillan fácilmente y no se manchan ni se decoloran como lo hace la resina compuesta.

Carillas
- Las carillas son irreversibles, ya que es necesario perforar el diente para que encaje perfectamente.
- Las carillas requieren al menos dos visitas, con un espacio de algunas semanas entre ellas, para que los técnicos tengan tiempo de preparar la carilla en el laboratorio dental.
- Una carilla de porcelana parte desde 500 € por diente.
- Se espera que las carillas de porcelana duren al menos 15 años.
- Las carillas de porcelana son significativamente más resistentes que las uniones compuestas.

La mejor manera de determinar qué solución es adecuada para usted es hablar con su dentista sobre sus objetivos estéticos.
Si está buscando la solución más rentable, entonces la adhesión compuesta es una muy buena opción. Sin embargo, si el paciente tiene un problema estético severo y busca una solución duradera, las carillas de porcelana pueden ser la mejor opción.
Conclusión
Para los pacientes que tienen dientes naturales sanos y desean una solución rápida para mejorar la apariencia de su sonrisa, la adhesión compuesta dental es una opción rápida, indolora y asequible. Es la forma menos invasiva de restaurar estéticamente los dientes.
Es apto para casi todo el mundo y más económico que otros tratamientos cosméticos. Puede obtener resultados inmediatos, ya que solo requiere una visita al dentista. Por lo tanto, si tiene algún problema dental menor con el que no está satisfecho, hable con nosotros sobre la adhesión compuesta dental. ¡Podría ser la mejor solución para hacerte sonreír de nuevo!

















































































































































